Leistungen im Focus: Bleaching
Farbstoffe aus Nahrungs- und Genussmitteln, Nebenwirkungen von Medikamenten etc. führen dazu, dass sich die Farbe Ihrer Zähne mit zunehmendem Alter verändern.
Unsere professionelle Zahnreinigung erhält Ihre Zahngesundheit und -farbe, z. B. durch eine kosmetische Behandlung wie das Bleaching.
Mittels Anwendung schonender Verfahren und unserem Know-how werden Ihre Zähne aufgehellt, ohne geschädigt zu werden, damit Ihr strahlend weißes Lächeln auch langfristig ein gesundes bleibt.
Methoden der Zahnaufhellung für die Durchführung zu Hause bzw. in der Praxis
Allgemeine Hinweise:
- Schützen Sie das Gel bzw. die Trays vor Hitze und direkter Sonneneinstrahlung. Der beste Aufbewahrungsort für das Gel ist der Kühlschrank, aber bitte nicht einfrieren.
- Während der Tragezeit der Schienen sollten Sie nicht rauchen, essen oder trinken.
- Nahrungsmittel und Getränke mit hohem Säureanteil können Empfindlichkeiten bewirken.
- Der Verzicht auf verfärbende Nahrungs- und Genussmittel während der gesamten Behandlungsdauer beeinflusst das Ergebnis positiv.
- Bitte halten Sie die Kontrolltermine ein, die wir mit Ihnen vereinbart haben. Bei weiteren Fragen wenden Sie sich bitte an uns, wir informieren Sie gern!
- 1. mit individuellen Schienen
(Opalescence PF/Opalescence Quick) – zu HauseDetails -
Sie haben sich zu einer Zahnaufhellung mit individuellen Schienen entschieden, die vorwiegend zu Hause durchzufü;hren ist. Bitte bachten Sie bei der Anwendung folgende Punkte:
Füllen Sie das Aufhellungsgel in die Schiene, die Sie von uns erhalten haben. Verwenden Sie ca. 1/2 bis 2/3 einer Spritze. Nehmen Sie zum Füllen dier Schiene nur das Gel, welches Sie von uns für diesen Zweck erhalten haben.
Putzen Sie Ihre Zähne, dann setzen Sie die Schiene über die Zahnreihe. Drücken Sie an den Seiten sanft an.
Entfernen Sie austretendes, überschüssiges Gel mit einer weichen Zahnbürste oder einfach mit dem Finger. Spülen Sie den Mund zweimal mit Wasser und spucken Sie es aus.
Zur Tragezeit und -dauer folgen Sie den Anweisungen, die Sie von uns erahlten haben. Treten wesentliche Empfindlichkeiten an den Zähnen oder Zahnfleisch-Reizungen auf, unterbrechen Sie die Behandlung und informieren Sie uns.
Nach der Tragezeit entfernen Sie die Schiene und putzen Sie Ihre Zähne. Die Schiene reinigen Sie nach dem Gebrauch mit einer weichen Zahnbürste und kaltem Leitungswasser.
Legen Sie die Schiene nach dem Gebrauch und Reinigung in die Aufbewahrungsbox. Auch nach Abschluss der Behandlung sollten Sie die Schiene in dieser Box aufheben, für eventuelle spätere Auffrischungsbehandlungen. - 2. mit den trèswhite supreme-KombiTrays – zu HauseDetails
-
Sie haben sich zu einer Zahnaufhellung mit den trèswhite supreme-KombiTrays entschieden, die vorwiegend zu Hause durchzuführen ist. Bitte bachten Sie bei der Anwendung folgende Punkte:
Nehmen Sie ein neues trèswhite-KombiTray aus der Blisterpackung (U = Upper (Oberkiefer); L = Lower (Unterkiefer). Sie können Ober- und Unterkiefer-Folien zu verschiedenen Zeiten tragen.
Putzen Sie die Zähne, dann setzen Sie das KombiTray über die Zahnreihe, indem Sie es am Zahnbogen ausrichten.
Saugen Sie das KombiTray leicht an, so bekommt die Innenfolie Kontakt mit den Zähnen.
Entfernen Sie das äußere Tray – dieses diente nur zum Einsetzen und kann nun entsorgt werden. Die Innenfolie mit Gel verbleibt auf der Zahnreihe.
Adaptieren Sie nun die flexible Innenfolie an Ihre Zahnreihe durch Zunge und "Kussmund"; evtl. leicht mit dem Finger andrücken, wenn nötig.
Tragen Sie die trèwhite-Folie 30-60 Minuten lang, dann entfernen und entsorgen Sie die Folie und putzen Sie die Zähne. - 3. mit den Opalescence Boost – in der PraxisDetails
-
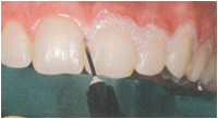
Sie haben sich zu einer Zahnaufhellung mit Opalescence Boost entschieden, die direkt in einer Sitzung in der Praxis durchgeführt werden kann:
Gingiva mit OpalDam abdecken. Ca. 0,5 mm auf den getrockneten Schmelz überlappen lassen. Stück für Stück je 20 Sekunden lichthärten.
Die Stempel der zusammengekoppelten Opalescence-Spritzen ca. 25 mal hin- und herbewegen. Zuletzt Gel in rote Spritze drücken.
Black Micro FX Tip aufsetzen, extraoral den Gel-Fluss prüfen. Im Mund auf die Zähne auftragen. Alle 5 Minuten Gel mit Tip etwas bewegen.
Nach ca. 15 Minuten Gel zunächst absaugen, dann Reste absprayen. Prüfen, ob weiteres Aufhellen nötig ist. Zuletzt OpalDam entfernen. - 4. mit den Opalescence Endo – in der PraxisDetails
-
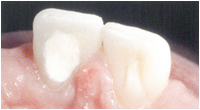
Bei diesem Verfahren handelt es sich um die Zahnaufhellung eines devitalen Zahnes nach der "Walking Bleach"-Technik:
Die Wurzelfüllung wird leicht abgetragen und mit Glasionomer abgedeckt. Opalescence Endo wird direkt in die Pulpahöhle appliziert.
Anschließend legt man ein kleines Pellet auf das Gel und verschließt provisorisch, zum Beispiel mit UltraTemp. Mit einem Wattestäbchen glätten.
Achtung: Oft bereits in 1-2 Tagen wirksam. Sie sollten Ihren Zahn beobachten und bei erfolgter Aufhellung sofort wieder in der Praxis erscheinen.
Nach Entfernung der Einlage ca. 14 Tage bis zur definitiven Füllung warten - die Farbe stabilisiert sich und Bondwerte sind nicht mehr beeinträchtigt.
Quelle: © Fotos by OPALESCENCE (www.opalescence.com)









